Eine der häufigsten Beschwerden, die Ärzte von Patienten hören, sind Schmerzen in den Knien. Was diese Schmerzen verursacht, lässt sich nicht immer sofort sagen. Die Knie können von verschiedenen Erkrankungen betroffen sein, zum Beispiel Arthrose des Kniegelenks. Sie wird auch als Gonarthrose bezeichnet.
Kniegelenksarthrose ist eine nicht entzündliche Gelenkverletzung, die häufig zu Knorpelzerstörung, Knochenverformung und Bewegungseinschränkung führt. Diese Krankheit hat den Code M17 in der Internationalen Klassifikation der Krankheiten (ICD-10).

Alle Patienten können in zwei Gruppen eingeteilt werden. Zur ersten Gruppe gehören Jugendliche, häufiger junge Männer, mit Schäden an einem, seltener an beiden Kniegelenken. Sie haben eine Knieverletzung oder Operation in ihrer Krankengeschichte.
Zur zweiten Gruppe gehören adipöse, mittlere oder ältere Menschen, häufiger Frauen, bei denen sich an mehreren Körperstellen gleichzeitig eine Gonarthrose entwickelt hat.
Symptome einer Kniegelenksarthrose
Die Symptome der Arthrose des Knies nehmen allmählich zu. Patienten bemerken möglicherweise jahrelang nicht, dass sie krank sind, bis sie eine offensichtliche Kniedeformität oder starke Schmerzen bemerken.
Gleichzeitig wird Arthritis des Kniegelenks im Anfangsstadium der Erkrankung oft von unangenehmen und schmerzhaften Empfindungen in den Knien begleitet, und nur wenige Menschen suchen einen Arzt auf.
Frauen, die zu Fettleibigkeit neigen, insbesondere nach dem 40. Lebensjahr, sind für diese Krankheit prädisponiert.
Krampfadern tragen auch zur Entstehung der Krankheit bei. In diesem Stadium ist es möglich, die Krankheit ohne Tabletten und Salben zu Hause zu behandeln.
Der Schmerz ist nicht plötzlich, er setzt allmählich über mehrere Jahre ein. Sie treten normalerweise beim Sport, Gehen und anderen körperlichen Aktivitäten auf.
Akute Schmerzen sind möglicherweise kein Symptom einer Gonarthrose, sondern eher eine Folge einer Fissur, einer Meniskusverletzung oder eines Hämatoms. Es sind die intensiven Schmerzen, die zur Motivation werden, zu einem Spezialisten zu gehen.
Der Schmerz verschlimmert sich oft in den folgenden Fällen:
- Gehen;
- in einer langjährigen Position;
- bei Steigungen;
- beim Anheben des Körpers aus einer sitzenden Position;
- beim Tragen schwerer Gegenstände.
Während der Durchführung dieser Aktionen wirkt die maximale Belastung auf die Gelenke. Wenn der Patient große Beschwerden verspürt, kann er daher bereits mit Arthritis des Kniegelenks der zweiten Stufe diagnostiziert werden. Eine Person versucht, sich weniger zu bewegen, eine statische Position einzunehmen, um Schmerzen zu vermeiden, aber bei fortgesetzter körperlicher Aktivität kehren die Beschwerden zurück.

Deformierende Osteoarthritis des Kniegelenks begleitet ein solches Symptom wie eine Deformität. Sie macht sich bereits im zweiten oder dritten Krankheitsstadium bemerkbar. Seine ersten Anzeichen: Das Knie war leicht geschwollen, behielt aber seine Form. In späteren Stadien kommt es zu einer Veränderung der Knieform, wobei ein Bein verkürzt oder verlängert wird.
Eines der charakteristischsten Symptome ist ein knackendes Geräusch in den Gelenken, das sich im zweiten und dritten Stadium bemerkbar macht. Die Hauptsache ist, das laute Knirschen in den Gelenken eines gesunden Menschen von dem trockenen, dumpfen Knirschen des Patienten zu unterscheiden. Dieses Geräusch verursacht eine Schwäche des Bandapparates oder eine hohe Beweglichkeit der Gelenke.
Um die Unbeweglichkeit des Kniegelenks zu gewährleisten, wird die Verwendung von Knieorthesen empfohlen.
Formen der Gonarthrose
Es gibt zwei Formen der Krankheit:
- Primär: Es tritt als Folge einer angeborenen Fehlentwicklung der Gelenke auf.
- Sekundär: Erscheint als Folge von Krankheit und Verletzung.
Die primäre Form der Arthrose des Kniegelenks entwickelt sich oft im Kindesalter und wird durch eine Fehlbildung von Bändern und Gelenken verursacht. Sie sind starken Belastungen ausgesetzt und verformen sich bei körperlicher Aktivität.
Die sekundäre Form der Krankheit wird durch folgende Faktoren verursacht:
- Verletzungen (Prellungen, Verstauchungen, Verrenkungen, Frakturen), die zu Verletzungen der Knochen-, Bänder- und Knorpelstruktur führen. All dies ist eine posttraumatische Form der Krankheit.
- Operationen, bei denen der Meniskus verschoben ist, verletzen die Integrität der Kniestruktur.
- Zu viel Belastung der Beine (typisch für Gewichtheber).
- Fettleibigkeit. Übergewicht verursacht Druck auf den Knorpel in den Kniegelenken.
- Passiver Lebensstil.
- Diabetes.
- Älter werden.
- Arthritis (entzündlicher Prozess in den Gelenken). Eine längere Erkrankung geht mit der Bildung von überschüssiger Flüssigkeit in der Gelenkhöhle einher und führt zu Komplikationen.
- Stoffwechselstörungen führen zur Ablagerung von Salzen.
- Knietransplantation
- Krankheiten, die anhaltende Muskelkrämpfe in den Beinen oder Vasospasmus verursachen.
Die Entwicklung der Krankheit kann einseitig oder beidseitig verlaufen. Ein Trauma verursacht oft eine links- oder rechtsseitige Gonarthrose, und Fettleibigkeit ist bilateral.
Krankheitsstadien
Es gibt drei Stadien der Gonarthrose:
- Vom Beginn des ersten Stadiums bis zu den sichtbaren Manifestationen der Krankheit können mehrere Monate oder sogar Jahre vergehen. Die Person klagt über intermittierende Schmerzen in den Beinen, insbesondere beim Treppensteigen und morgens beim Aufstehen. Die Bilder zeigen normalerweise eine Verengung der Verbindung zwischen den Gelenken, und anstatt zum Arzt zu gehen, verwenden die Patienten in der Regel traditionelle Medizin - Salben und Tinkturen.
- Das zweite Stadium ist durch akutere Schmerzen gekennzeichnet, die nicht mit der Unbeweglichkeit der Extremität aufhören. Es entsteht ein Riss. Flüssigkeit sammelt sich in der Gelenkhöhle, das Röntgenbild zeigt die Verformung und das Wachstum des Knochens. Der Patient versucht in diesem Stadium auf jede erdenkliche Weise, das betroffene Glied nicht zu bewegen. Der behandelnde Arzt verschreibt Injektionen und Chondroprotektoren - Medikamente, die zur Wiederherstellung des Knorpelgewebes beitragen.
- Im letzten Drittel der Phase werden die Schmerzen konstant und verschlimmern sich oft mit wechselnden Wetterbedingungen. Das Röntgenbild zeigt eine erhebliche Deformität des Knies, die nur durch eine Operation korrigiert werden kann, der Patient muss einen Komplex von Chondroprotektoren einnehmen. Der Gang des Patienten ändert sich: Er geht mit halb gebeugten Beinen oder rollt von einer Seite zur anderen.
Ursachen der Krankheit. Gruppen gefährdet
Übergewicht
Am häufigsten betrifft Arthrose deformans ältere Menschen. In einer besonderen Risikogruppe befinden sich übergewichtige Frauen nach 40 Jahren. Die Wahrscheinlichkeit einer Pathologie bei übergewichtigen Menschen ist 4-mal höher als bei Menschen mit normalem Körpergewicht. Das Muster ist einfach: Je höher das Gewicht einer Person, desto schneller entwickelt sich die Krankheit und desto schwerer verläuft sie. In diesem Fall kann die Form der Krankheit als erworben bezeichnet werden. Es sind die Gelenke der unteren Extremitäten, die unter den Schlag fallen, weil sie gezwungen sind, die größte Belastung zu tragen.
Übergewichtige Menschen sind auch mit hormonellen Ungleichgewichten und Stoffwechselstörungen konfrontiert, die zur Entstehung von Fettleibigkeit und Arthrose beitragen.
Älter werden
Als ältere Menschen können diejenigen bezeichnet werden, die das Alter von mehr als 60-65 Jahren erreicht haben. In dieser Population tritt Osteoarthritis bei 65-85 Prozent der Menschen auf.
Grund sind altersbedingte Veränderungen, die sich negativ auf die Struktur der Gelenke auswirken. Auch normales Gehen kann zu einer erheblichen Belastung werden und die Entstehung der Krankheit begünstigen, während der abgenutzte Knorpel nicht mehr von alleine heilen kann.
Angeborene Pathologien und erbliche Faktoren
Die Krankheit kann sowohl junge als auch nicht übergewichtige Menschen betreffen. In solchen Situationen tritt die Krankheit in der Regel aufgrund angeborener Defekte der Kniegelenke auf, beispielsweise aufgrund fehlender intraartikulärer Schmierung. Auch die Vererbung spielt eine wichtige Rolle.
Die meisten Patienten, die unter Knieschmerzen leiden, sind jedoch Menschen in einem respektablen Alter. Arthrose ist bei jungen Menschen selten. Leider erhalten junge Patienten nicht immer die notwendige Behandlung, da nicht alle Ärzte es für notwendig erachten, ihnen die notwendige Pflege zukommen zu lassen.
hohe Belastungen
Menschen, die ihren Lebensunterhalt mit harter körperlicher Arbeit verdienen, und Sportler verschiedener Leistungsstufen sind ebenfalls einem Risiko für Kniearthrose ausgesetzt. In diesem Fall wird die Krankheit zu einer professionellen Pathologie.
Operationen, Verletzungen und andere Krankheiten
Operationen, Traumata und verschiedene Gelenkerkrankungen können das Auftreten von Gonarthrose hervorrufen.

Wenn die Ursache unbekannt bleibt, wird Arthrose des Kniegelenks allgemein als idiopathisch bezeichnet.
Diagnose der Arthrose des Kniegelenks.
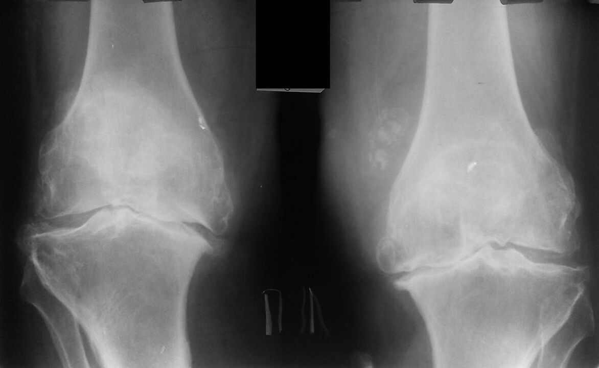
Diese Diagnose wird auf der Grundlage der Beschwerden des Patienten, der Untersuchungsdaten, der Palpation des erkrankten Gelenks und der Röntgenuntersuchung gestellt.
Die Radiographie ist eine Standardforschungsmethode, mit der Sie die Diagnose bestätigen, den Grad pathologischer Veränderungen feststellen, die Dynamik des Prozesses überwachen und andere pathologische Prozesse (z. B. Tumore) in Tibia und Femur ausschließen können. .
Es sollte beachtet werden, dass primäre Veränderungen in den Strukturen des Kniegelenks auf Röntgenaufnahmen fehlen können. Anschließend werden die Einengung des Gelenkspalts und die Verdichtung des subchondralen Bereichs bestimmt. Die Gelenkenden des Femurs und insbesondere der Tibia erweitern sich, die Kanten der Kondylen werden spitz.
Hilfsdiagnostische Methoden sind CT (Computertomographie) und MRT (Magnetresonanztomographie), die eine detailliertere Untersuchung pathologischer Veränderungen in Knochenstrukturen ermöglichen und Veränderungen in Weichteilen erkennen.
Wie man Gonarthrose des Kniegelenks behandelt
Je akuter das Stadium der Erkrankung ist, desto komplexer wird die Behandlung der Gonarthrose. Die chronische Natur der Pathologie kann in der Remissionsphase bleiben, wenn die aktiven Manifestationen der Krankheit minimiert werden oder vollständig verschwinden.

Physiotherapeutische Behandlung in Kombination mit chondroprotektiven Medikamenten führt zu positiven Ergebnissen.
Zu den Behandlungsmöglichkeiten gehören:
- medikamentöse Therapie (Chondroprotektoren);
- Operativer Eingriff;
- Rehabilitationskurs (Bewegungstherapie, Massage usw. ).
medikamentöse Behandlung
Bei der medikamentösen Therapie ist die Verwendung von nichtsteroidalen Analgetika vorgeschrieben. Diese Medikamente helfen, Schmerzen und Symptome einer Synovitis (Entzündung) zu lindern. Bei besonders starken Schmerzen oder stark entzündeten Synovien des Kniegelenks können Kortikosteroide eingesetzt werden. Diese Medikamente haben eine stärkere analgetische und entzündungshemmende Wirkung als nicht-hormonelle Analgetika. Muskelrelaxantien und Antispasmodika helfen den periartikulären Muskeln, Krämpfe loszuwerden.
Antioxidantien und Vasodilatatoren verbessern die Knorpelernährung. Die wichtigsten Medikamente zur konservativen Behandlung der Krankheit sind Chondroprotektoren, die Chondroitin und Glucosaminsulfat (natürliche Bestandteile des Knorpels) enthalten.
Die Anwendung von pathogenen Arzneimitteln muss systemisch und über einen längeren Zeitraum erfolgen.
Physiotherapie
Physiotherapeutische Behandlungsmethoden (UHF, Ultraschall oder Phototherapie) gelten als zusätzliche Mittel zur Beschleunigung des Heilungsprozesses.
Dazu gehören auch:
- Akupunktur. Diese Methode lindert Muskelkrämpfe in der Nähe des betroffenen Gelenks, normalisiert Stoffwechselprozesse in ihnen und stellt dadurch beschädigtes Knorpelgewebe wieder her.
- Hirudotherapie. Die Blutegelbehandlung hat die gleiche Wirkung wie Injektionen, da sie die Durchblutung verbessert.
- Lasertherapie Solche Verfahren lindern Entzündungen, Schwellungen, verbessern den Stoffwechsel und neutralisieren Schmerzen.
- Kryotherapie. Sowohl die Behandlung mit flüssigem Stickstoff als auch gewöhnliches Eis zu Hause sind wirksam.
- Magnetfeldtherapie. Der Einfluss des Magnetfeldes verbessert nicht nur die Durchblutung des Gewebes, sondern lindert auch Schwellungen und Entzündungen.
- Elektromyostimulation. Mit Hilfe von Mikrostromentladungen unterschiedlicher Frequenz werden die Muskeln wiederhergestellt und gestärkt und die Durchblutung der Extremitäten verbessert.
Die Behandlung der Gonarthrose des Knies mit Physiotherapie ist effektiv, da sie Schmerzen lindert. Der behandelnde Arzt verordnet eine solche Behandlung in der Regel je nach Stadium der Erkrankung.
Physiotherapie
Die Bewegungstherapie bei Arthrose des Kniegelenks ist eines der wichtigsten Mittel zur Wiederherstellung atrophierter Muskeln und muss sehr sorgfältig und langsam durchgeführt werden. Wenn der Patient das Gefühl hat, dass der Schmerz zurückkehrt, sollte er die Übung beenden.

Während der therapeutischen Übungen müssen spezielle Knieorthesen-Fixatoren verwendet werden. Der Rehabilitationskurs beinhaltet auch die Verwendung dieser Orthesen, deren Ziel es ist, die Belastung des betroffenen Knies auf den Stock oder die Prothese zu reduzieren. Patienten mit Gonarthrose werden oft Knieorthesen verschrieben, um Schmerzen beim Gehen zu lindern.
Heilgymnastik bei Gonarthrose entlastet das geschädigte Gelenk und baut die Beinmuskulatur auf. Übungen, die das Gelenk belasten, sind streng kontraindiziert. Aquafit und Schwimmen sind ideale Aktivitäten.
orthopädische Therapie
Um die Belastung der betroffenen Gelenke zu verringern, muss der Patient einen Stock verwenden. Ein guter Helfer bei Kniearthrose sind orthopädische Schuhe, die für eine natürliche Fußstellung und gleichmäßige Lastverteilung sorgen.
Massage
Massage lindert Muskelkrämpfe, lindert Schmerzen und erhöht die Bewegungsfreiheit. Dieses Verfahren verbessert auch die Durchblutung und versorgt das Gelenk mit Nährstoffen.
Operativer Eingriff
Eine ausgeprägte Abnahme der Arbeitsfähigkeit (insbesondere bis zum 45. Lebensjahr) erfordert eine chirurgische Behandlung. Die Wahl zwischen korrigierenden (Osteophytenentfernung) und radikalen (Knieendoprothetik) Behandlungsmethoden hängt vom Stadium der Erkrankung, dem Alter des Patienten, den Symptomen und anderen Faktoren ab.
Ernährung
Die spezielle Diät für Gonarthrose zielt meistens darauf ab, das Gewicht des Patienten zu reduzieren, da Übergewicht zu einer Überlastung der Gelenke führt. Es wird empfohlen, alle 3 Stunden kleine Mahlzeiten zu essen, mageres Fleisch (Huhn, Truthahn, Kaninchen) zu essen und Schweinefett auszuschließen und das notwendige Protein aus Hülsenfrüchten zu beziehen.
Raffiniertes Öl sollte durch unraffiniertes Öl ersetzt werden, die Salzaufnahme sollte begrenzt werden. Die therapeutische Diät impliziert auch die Ablehnung von Konserven, frittierten und geräucherten Lebensmitteln. Um den zerstörten Knorpel wiederherzustellen, ist es notwendig, den Körper mit Kohlenhydraten zu versorgen, die in Getreide und Vollkornmehl enthalten sind.
Darüber hinaus wird empfohlen, frisch gepresste Säfte wie Karotte, Rübe und Apfel zu trinken, um Giftstoffe auszuscheiden und den Körper zu entleeren.
Fisch und verschiedene Gelees wirken als Chondroprotektoren und helfen bei der Wiederherstellung des Knorpels nicht nur in der Anfangsphase, sondern auch in Phasen der Exazerbation.
Folk Methoden der Behandlung
Es gibt viele Salben, Kompressen und Tinkturen, die von Liebhabern der traditionellen Medizin verwendet werden. Diese Mittel werden normalerweise aus Kräutern und medizinischer Galle hergestellt und helfen, die Durchblutung der Gelenke zu verbessern.
Kompressen und Salben entspannen auch die Muskeln, ihre Wirksamkeit ist sehr hoch, aber im dritten Stadium der Gonarthrose ohne den Einsatz von Medikamenten sind sie praktisch nutzlos.
Die traditionelle Medizin sollte nicht vernachlässigt werden, da sie hilft, Beschwerden zu lindern und viele der Symptome der Krankheit zu reduzieren. Aber in jedem Fall müssen Sie einen Arzt konsultieren und sich nicht selbst behandeln.
Es gibt Kontraindikationen, es ist notwendig, einen Spezialisten zu konsultieren.
Verhütung
Es wird empfohlen, die folgenden Grundsätze eines gesunden Lebensstils einzuhalten:
- ausgewogene Ernährung;
- Verzicht auf schlechte Angewohnheiten (Rauchen, Alkohol);
- Sport;
- halten Sie ein gesundes Gewicht;
- Prävention von Sportverletzungen (Prellungen, Verrenkungen, Frakturen).
Kniearthrose hat mehrere Behandlungsmöglichkeiten, abhängig vom Alter und der körperlichen Verfassung des Patienten. Um die Krankheit im Frühstadium zu verhindern und zu kontrollieren, ist neben einer rechtzeitigen Behandlung auch Sport erforderlich.



















